
国家三级甲等医院
成都中医药大学附属医院
健康热线:
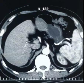
近日,市中医院消化内科在胃镜下通过微创技术,为利州区宝轮镇新街4组余××成功挖出了直径达5公分如土豆大小的“胃间质瘤”,术后恢复良好,痊愈出院。


胃间质瘤到底是什么东东?
胃间质瘤是医学上的新词,是21世纪才正式命名和普遍使用的医学新名词。这种病变在胃镜下的形态学表现和我们常说的胃癌、胃淋巴瘤、胃息肉能直接区分开,因为它生长源于固有肌层,像土豆生长一样,可以通过超声内镜检查和CT检查确诊。
胃间质瘤发病率有多高?
![]()

研究表明,在100例胃癌患者的胃手术切除标本中,发现了50个间质瘤,这个比例足够高了。

胃间质瘤怎么治?
微创手术切除是首选。如果间质瘤增长快速,说明出现了一定的恶性表现,建议胃镜检查尽早行微创手术切除。
“45岁以上人群应该一至两年做一次胃镜常规检查,而对于有胃癌家族史,慢性胃癌病史,和胃溃疡或者胃息肉的高危患者应该半年做一次。高危人群半年做一次胃镜,早发现早治疗,可有效提高胃肠道间质瘤的治愈率。” 广元市中医院内镜中心副主任杨涛建议。
广元市中医院消化内科简介
广元市中医院消化内科(内五科)是广元市重点专科,科室近年得到快速发展,拥有高级职称专家5人,博士、硕士研生3人和一大批优秀业务骨干。仅近两年来就添置了奥林巴斯290超声内镜、放大内镜、治疗内镜及奥林巴斯290高清肠镜系统等系列尖端设备,形成了强大的综合实力。年开展胃肠镜诊疗10000余例。近年来率先成功开展了“人工肝支持系统治疗肝衰竭”、“腹水超虑浓缩回输术治疗肝硬化腹水”、“食管支架植入术”、“食管静脉曲张套扎术”、 “消化道早癌筛查”、“食管胃底静脉曲张硬化治疗”、“内镜下粘膜切除术(EMR)”、“内镜下粘膜剥离术(ESD)”、“内镜经粘膜下隧道肿瘤切除术(STER)”、“经口内镜下肌切开术治疗贲门失迟缓症”、“超声内镜”等技术,免除了患者做大手术带来的痛苦,因强大的技术综合实力享誉川北及陕甘毗邻地区。
特别提示:周一至周五全天可作无痛胃肠镜检查及治疗。
市中医院胃肠镜中心电话:3235234
消化内科(内五科)住院部电话:3230032
Copyright©2026 www.gyszyy.cn All Rights Reserved 主办单位:广元市中医医院 网站访问总量:19205478 人次
医院地址:广元市利州区建设路133号 联系电话:院办公室:3222508 门诊办电话:3245973 急诊科:3225319 急救电话:3234567